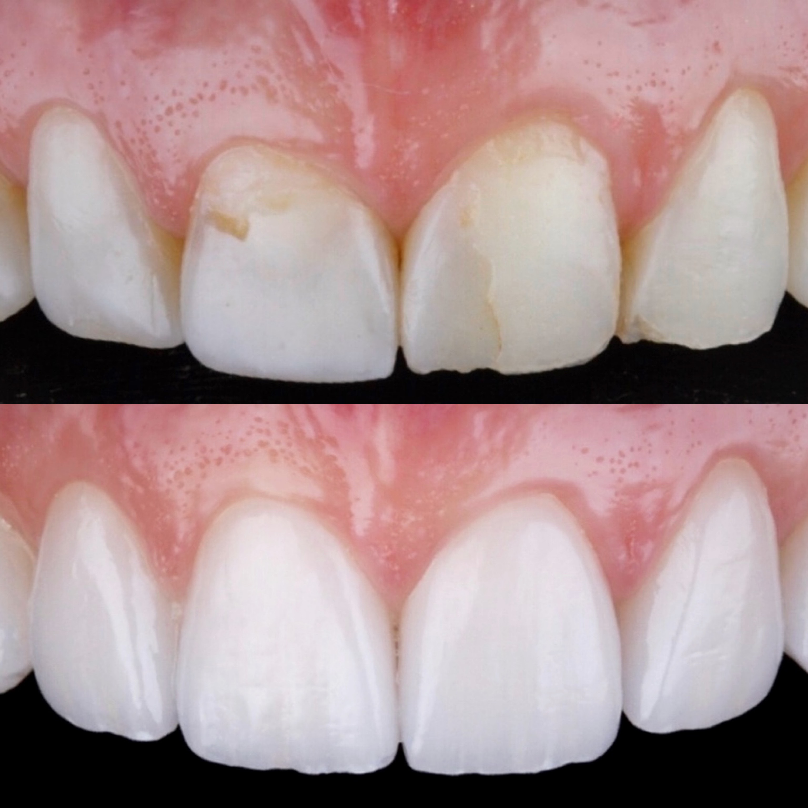
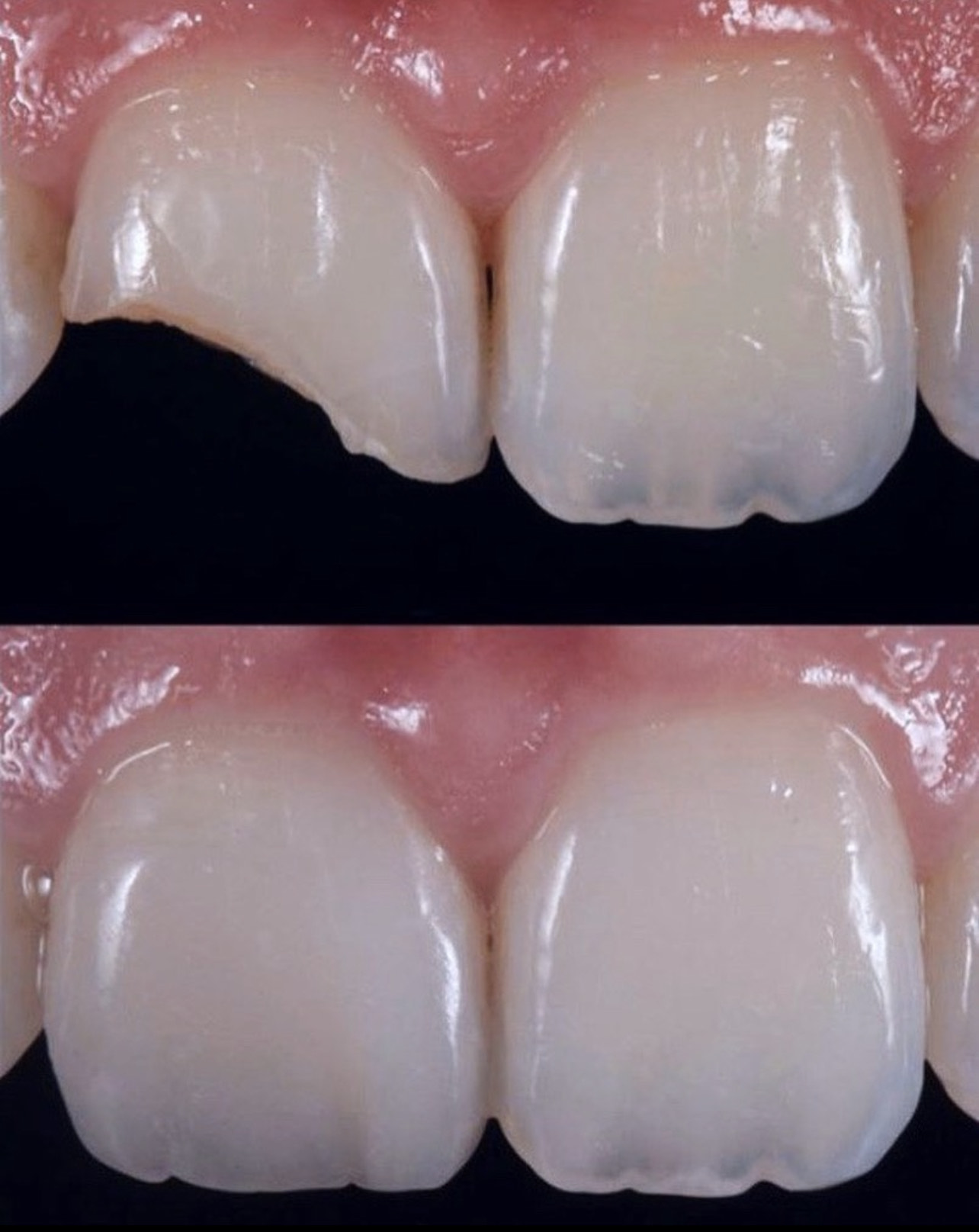
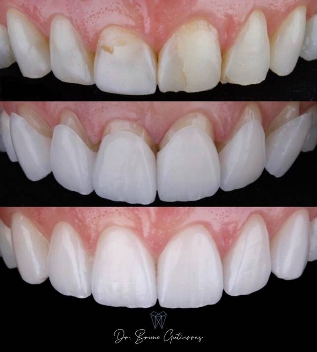
Dental veneers are a popular treatment choice when it comes to improving the aesthetics of your smile. At Facial Dental Excellence, veneers can be used to cover teeth that are stained or discolored, as well as teeth that are broken, chipped, misaligned, or irregularly shaped. Because veneers are thin, custom-made shells of tooth-colored material, there’s no need for removing a large portion of your tooth’s natural structure.
Porcelain Veneers
Biomimetic porcelain veneers are a type of veneer that perfectly mimic the light-reflective properties of natural tooth enamel. Biomimetic Porcelain Veneers' goal is to keep as much of the original tooth structure as possible, have no damage to your tooth, and achieve natural aesthetics while covering imperfections.
Porcelain veneers are thin shells of dental porcelain that are placed on the front surfaces of teeth to correct cosmetic imperfections. They are customized to each tooth, ensuring that they are the right size and color and that they are shaped and polished to blend seamlessly with surrounding teeth.







The Porcelain Veneer Procedure
To prepare a tooth for porcelain veneers, a small amount of enamel is removed. As a result, the tooth will have a slightly thinner surface, which will increase the likelihood that the veneer will stay in place for years. The veneer is made to match the shade of your natural teeth, so it should blend in well. The porcelain veneer is bonded to the surface of the tooth with dental cement. Veneers are extremely durable, and with proper dental care, they can last anywhere from 10 to 15 years.
The Benefits of Porcelain Veneers
Porcelain veneers are a great choice for patients who want to drastically improve their smile’s appearance. These thin, shell-like restorations can give you a beautiful smile that rivals those of your favorite celebrities. Veneers are stain-resistant. However, veneers are not stain-proof. That means that stains can happen to porcelain veneers, but they will be less likely to happen than with natural teeth.If you are a smoker, it is very important to stop smoking before you have porcelain veneers placed. Porcelain veneers are strong and durable. However, the lifespan depends on the patient’s habits. If you practice good oral hygiene, use non-abrasive toothpaste, and avoid excessive consumption of staining beverages like coffee, tea, and red wine, your porcelain veneers can last for decades. Additionally, if you grind your teeth, you will need to wear a mouthguard at night. Grinding your teeth can scratch or wear down your veneers and shorten their lifespan.
For the best care tailored to your specific needs, contact Facial Dental Excellence.
